Pagrindinis tikslas – išgydyti, o ne šalinti pacientų dantis
Daugumai pacientų chirurginis gydymas kelia baimę ir asocijuojasi su skausmu, todėl sunku tam ryžtis. Chirurginių procedūrų odontologijos centro „Laudenta“ gydytojai odontologai pataria nebijoti, kadangi kuo ilgiau delsiama, tuo pooperacinis periodas gali būti skausmingesnis ir ilgesnis. Patyręs specialistas bet kurį dantį pašalina pakankamai greitai, nesudėtingai ir neskausmingai, taikant vietinę nejautrą.
„Mūsų odontologijos centre visos burnos chirurginės procedūros atliekamos planine tvarka, kai konservatyvus gydymas yra neefektyvus ar negalimas. Pagrindinis tikslas yra stengtis išgydyti, o ne šalinti pacientų dantis. Tačiau kartais tai yra neišvengiama. Viena iš dažniausiai atliekamų burnos chirurgijos procedūrų yra danties rovimas, dantų implantacija, neišdygusio danties operacinis šalinimas, tačiau tenka šalinti ir dantenas aplink dantį, patrumprinti danties viršūnę, atlikti liežuvio ir lūpos pasaitėlio plastikos operaciją“, – dėsto gydytoja odontologė Vida Laurinonienė.
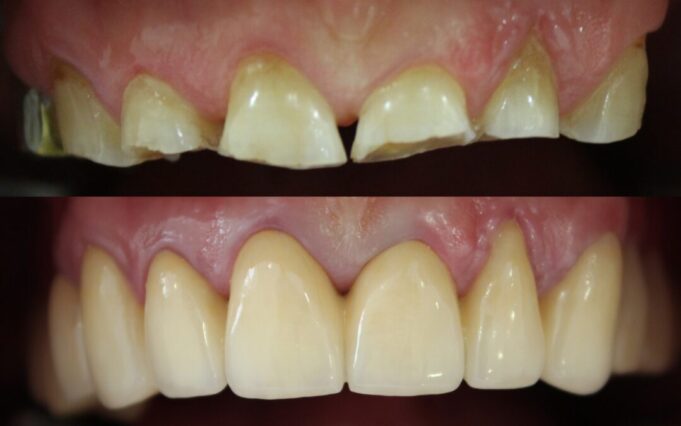
Dantų protezai – tendencijos džiugina
Nuo seno dantų protezavimas daugeliui žmonių kelia neigiamas emocijas, nes asocijuojasi su dantų šlifavimu, gręžimu ir „dantimis stiklinėje“. Dantų protezai dažnai apipinami mitais, kad jie yra nepatogūs, nuolat krenta, o protezavimas naudojamas tik vyresnio amžiaus žmonėms. Tačiau šiandien dantų protezavimas yra bene labiausiai pažengęs visoje odontologijos srityje – tai vienas moderniausių dantų atkūrimo būdų.

„Savo pacientams siūlome itin didelį protezavimo paslaugų spektrą, tiek išimamais, tiek ir neišimamais protezais: dantų plokšteles, lanko atraminius protezus, dantų vainikėlius, tiltus, įklotus ar užklotus ir kt.“ – pasakoja gydytoja odontologė Agnė Leleivaitė.
Odontologijos centras „Laudenta“ siekia nuoširdaus bendradarbiavimo su pacientais, todėl, atsižvelgiant į pacientų norus ir galimybes, prieš pradedant gydymą yra sudaromas individualus gydymo planas. Jame išsamiai aptariama paciento dantų būklė, įvairūs galimi dantų atkūrimo būdai, gydymo trukmė, eiga bei kaina.
„Norime pažymėti, kad klinikoje dantų protezavimas atliekamas naudojant tik pačias geriausias ir laiko patvirtintas medžiagas“, – pabrėžia gydytoja odontologė Šarūnė Andriuškevičiūtė. „Taip pat esame sudarę sutartį su Teritorine ligonių kasa, kuri iš privalomojo sveikatos draudimo fondo kompensuoja protezavimo išlaidas vaikams, senatvės pensininkams ir neįgaliems asmenims“, – priduria gydytoja odontologė Gintarė Patapovienė.
Dantų implantacija ir protezavimo galimybės ant implantų
Dantų implantacija šiuolaikinėje odontologijoje yra ko gero vienas iš svarbiausių ir didžiausių pasiekimų. Suderinus dantų protezų ir implantų sistemas galima atstatyti pilnavertį maisto kramtymą, estetiškai nepriekaištingą šypseną ir įgauti pasitikėjimą savimi. Žmonės, išbandę šiuos protezus, sujungtus su implantais, teigia, jog gali gyventi pilnavertį gyvenimą ir netekę visų dantų.

Danties implantas tai dirbtinė danties šaknis. Implantas yra mažas titaninis varžtelis, kuris yra įsukamas į žandikaulio kaulą ir tampa tikrosios šaknies pakaitalu. „Galime pasiūlyti momentinę ir vėlyvąją dantų implantaciją. Momentinės dantų implantacijos metu yra šalinamas dantis ir sriegiamas implantas tuo pačiu metu. Tuo tarpu vėlyvosios implantacijos metu implantas sriegiamas prieš tai pašalinus dantį ir jau visiškai sugijus žaizdai. Momentinės implantacijos vienas iš pagrindinių pliusų yra viena procedūra ir vienas pooperacinis periodas, tačiau implanto neprigijimo rizika tam tikrose situacijose gali būti didesnė. Tuo tarpu vėlyvosios implantacijos komplikacijų rizika yra kur kas mažesnė“, – pasakoja implantuojanti gydytoja odontologė V. Laurinonienė.
Šiuo metu dantų implantų rinka neabejotinai leidžia rinktis iš labai daug protezavimo ant implantų galimybių, todėl odontologijos centras „Laudenta“ pacientams siūlo išimamus bei neišimamus dantų protezus fiksuotus ant implantų. Jei išimami dantų protezai nesilaiko burnoje, galima fiksuoti ant 2 implantų. Tuo tarpu neišimami protezai, fiksuoti ant implantų, gali būti vieno danties vainikėlis, tiltinis protezas ar fiksuota pasaga ant 4–6 implantų.

Šiuo metu odontologijos centre „Laudenta“ konsultacija dėl dantų implantavimo nemokama. Laukiame visų rokiškėnų ir miesto svečių adresu Aušros g. 17, Rokiškis. Registracija vizitui pas gydytoją odontologą telefonu +370 633 20088.
Užs. 613









































